歯の被せ物の種類と選び方!自分に合った素材の選び方も
こんにちは。春日井市玉野町にある歯医者「くまの歯科」です。
歯の治療後に必要となることが多い被せ物は、見た目の回復だけでなく、機能面や健康維持にも大きな役割を果たします。
しかし、被せ物にはさまざまな種類があり、それぞれにメリットやデメリットがあります。治療の選択肢として提示されたときに、自分に合ったものを選ぶためには、ある程度の知識が必要です。
そこで今回は、歯の被せ物をする目的から種類、そして選び方のポイントまでをわかりやすく解説します。
被せ物をする目的

被せ物は見た目を整えるだけでなく、さまざまな機能的な役割も担っています。以下では、被せ物をする主な目的について詳しく解説します。
歯の保護
大きな虫歯を治療したあとや、根管治療を行った歯は、構造的に弱くなっています。そのまま放置すると、噛む力に耐えられずに割れたり欠けたりするリスクが高まります。被せ物をして、歯全体をしっかりと覆うことで、物理的な衝撃から守ることができます。
機能の回復
歯の一部が欠けたり、大きく削られたりすると、噛む力が弱くなり、食事がしづらくなります。特に奥歯は咀嚼の中心的な役割を担っており、その形が崩れると、食べ物を細かく噛み砕くことが難しくなります。
被せ物を使って元の形を再現することで、噛む力を取り戻し、食事を快適にとれるようになります。このような機能の回復は、栄養をしっかり摂るためにも重要です。
美容的な効果
前歯など、見た目に関わる部分の歯の治療では、機能面だけでなく、美しさも重視されます。被せ物には白く透明感のある素材があり、自然な歯に近い見た目を再現することが可能です。
歯の色や形を整えることで、笑ったときや話しているときの印象がより良くなります。口元に自信を持ちたい方にとって、被せ物は見た目を整えるための有効な選択肢といえます。
歯の被せ物の種類

被せ物には多様な素材があり、ご自身に合ったものを選択するためには、それぞれの特性を理解しておくことが大切です。ここでは、代表的な種類をご紹介します。
金属
いわゆる銀歯として知られる金属製の被せ物は、保険診療で広く使われており、強度に優れています。特に奥歯のように噛む力が強くかかる部位に使用されるケースが多いです。
費用を抑えられるのが大きな利点ですが、金属色が目立つため、口を開けたときに見た目が気になることがあります。また、体質によっては金属アレルギーの症状が現れる心配があるため、素材選びの際には注意が必要です。
硬質レジン前装冠
金属のフレームに白いレジン(樹脂)を貼り付けた被せ物で、主に前歯に使用されます。保険が適用されるため、費用を抑えながらある程度自然な見た目を得られるのが特徴です。
ただし、レジン部分は時間の経過とともに変色することがあり、摩耗や破損のリスクもやや高くなります。そのため、耐久性よりも費用や見た目を重視したい方に向いているかもしれません。
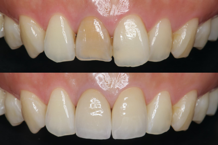
オールセラミック
オールセラミックは、金属を使わず、すべてセラミックで作られた素材です。天然の歯に近い透明感や色合いを再現できるため、見た目の自然さを重視する方に選ばれています。光の透過性が高く、周囲の歯となじみやすいことから、特に前歯の治療に使用されることが多いです。
また、金属を含まないため、金属アレルギーの症状が現れたり、歯ぐきが黒ずんだりする心配もありません。変色しにくく、美しい状態を長く保ちやすい一方で、自費診療となるため費用は高めです。見た目の美しさを最優先したい方に向いているかもしれません。
ジルコニア
ジルコニアは、セラミックのなかでも特に強度が高い素材で、奥歯のように強い力がかかる部位にも使用されています。
また、白く自然な色合いを持っており、見た目にも配慮された仕上がりになります。金属を含まない素材のため、金属アレルギーの心配がなく、体にやさしい点も魅力です。汚れがつきにくく、変色もしにくいため、清潔な状態を保ちやすいという特長もあります。
機能性と審美性の両方を重視する方に選ばれている素材です。
ハイブリットセラミック
ハイブリットセラミックは、セラミックとレジン(歯科用樹脂)を組み合わせた素材です。セラミックの美しさと、樹脂の柔らかさをあわせもっています。歯の色に近い仕上がりが可能で、前歯・奥歯のどちらにも使用できます。
時間の経過により多少の摩耗や色の変化が見られることがありますが、費用を抑えつつ審美性も重視したい方にとって、バランスの良い選択肢といえるでしょう。
メタルボンド
メタルボンドは、内側に金属を使い、その外側にセラミックを焼きつけた構造の被せ物です。強度と見た目の両方に優れており、前歯にも奥歯にも幅広く使用されています。
ただし、歯ぐきとの境目に金属の色が見える場合があり、時間の経過とともに目立ってくることもあります。また、内側に金属を使用しているため、金属アレルギーの心配がある方は、事前に歯科医師に相談しましょう。
歯の被せ物の選び方

自分に合った被せ物を選ぶためには、重視するポイントを明確にすることが重要です。以下に、主な選び方の視点をご紹介します。
予算を重視する場合
できるだけ費用を抑えたい場合には、保険が適用される素材を選ぶのが現実的です。例えば、金属の被せ物や硬質レジン前装冠は保険内で対応できるため、費用負担を軽減できます。
ただし、見た目や耐久性には限りがあるため、どの部位に使用するか、どのくらいの期間使いたいかを考慮して選ぶことが大切です。
耐久性を重視する場合
長く使い続けられることを重視する場合は、強度に優れた素材を選ぶことが重要です。ジルコニアやメタルボンドといった被せ物は、強い噛む力にも対応できるため、奥歯のように負担が大きい部位にも使用されています。
耐久性の高い素材を使用することで、破損や摩耗のリスクを抑えられ、交換や修復の頻度を減らすことが期待できます。特に、噛みしめる力が強い方や、日常的に負荷がかかりやすい箇所の治療には、信頼性のある素材を選ぶとよいでしょう。
見た目の自然さを重視する場合
前歯など、話したり笑ったりしたときに見えやすい部分の治療では、自然な見た目に仕上げることが重要なポイントです。
オールセラミックやハイブリットセラミックといった素材は、白さや透明感に優れており、周囲の歯との色の違いが目立ちにくくなります。歯の色や形を細かく調整できるため、自分の歯に近い仕上がりを目指すことが可能です。
見た目に違和感が少ない被せ物を選ぶことで、口元に対する不安を軽減し、自然な表情で過ごしやすくなります。
金属アレルギーのリスクを考える場合
金属によるアレルギーが気になる場合は、素材選びに十分な注意が必要です。口の中に使われた金属が原因で、皮膚や粘膜にかゆみや炎症が現れることがあります。
こうしたリスクを避けるためには、金属を使用していないオールセラミックやジルコニアといった素材が選択肢に入ります。これらは体への影響が少なく、アレルギー反応の心配が少ないとされています。
過去に金属製のアクセサリーで肌にトラブルがあった方は、治療前に歯科医院で相談し、必要に応じてパッチテストなどを受けておくと安心です。
まとめ

歯の被せ物には多くの種類があり、それぞれに特徴やメリットがあります。見た目の美しさ、噛む力への対応、費用面、アレルギーへの配慮など、選ぶ際に考慮すべきポイントは人によって異なります。
大切なのは、自分の口の状態やライフスタイルに合った素材を選ぶことです。そのためには、各素材の特徴を理解し、歯科医師と相談しながら慎重に決めていくことが求められます。
被せ物は、歯の健康を長く維持するための重要な治療です。納得のいく選択をすることで、安心して日常生活を送ることができるでしょう。
歯の被せ物を検討されている方は、春日井市玉野町にある歯医者「くまの歯科」にお気軽にご相談ください。
当院は、患者さまとの「対話」を何よりも大切にしながら診療にあたっています。通常の虫歯治療だけでなく、歯周病にも力を入れており、インプラントや矯正治療、ホワイトニングなども最良の治療計画を立てて最善を尽くします。

