虫歯を放置するとどうなる?リスク・治療費・予防策を解説

こんにちは。春日井市玉野町にある歯医者「くまの歯科」です。
虫歯は多くの人にとって身近な病気ですが「少し痛むだけだから」「忙しくて歯医者に行けない」といった理由で放置してしまうケースが少なくありません。
しかし、虫歯は自然に治ることがない病気であり、放っておくことで症状は確実に進行していきます。では、虫歯を放置すると具体的にどのようなリスクがあるのでしょうか。
今回は、虫歯を放置するとどうなるのか詳しく解説します。虫歯治療にかかる費用や通院頻度、予防方法についても解説しますので、虫歯にお悩みの方は、ぜひ参考にしてください。
虫歯を放置するとどうなるか

虫歯は自然に治ることはなく、放置すれば進行して症状が悪化していきます。ここでは、虫歯を放置するとどうなるのかを解説します。
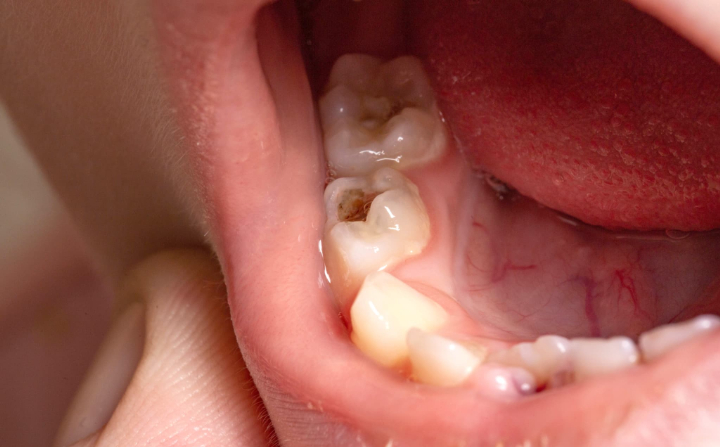
見た目の変化
虫歯の初期段階では、歯の表面が白く濁ったり、ざらつきを感じたりすることがありますが、この時点では痛みがほとんどありません。
しかし、放置すると歯の色が黒くなったり、穴が大きくあいたりして見た目が悪化することがあります。
冷たいものや甘いものでしみるようになる
虫歯が進行すると、冷たい飲み物や甘い食べ物を口にした際に歯がしみるようになります。これは、虫歯によって歯のエナメル質が損なわれ、内部の象牙質が露出するためです。しみ始めた時点で治療を受ければ、簡単な処置で済むことが多いです。
痛みや腫れが出る
さらに進行すると、虫歯菌が神経に近づき、ズキズキとした強い痛みや歯ぐきの腫れが出てきます。この段階では神経が炎症を起こしていたり、歯の根の先に膿がたまっていたりする可能性があり、放置すれば抜歯が必要になることもあります。
口臭の発生
虫歯が進行して歯に穴があくと、食べかすが詰まりやすくなります。食べかすが残った状態が続くと、細菌が繁殖して口臭が強くなることがあるのです。においの問題は日常生活に支障をきたすため、早めの対策が重要です。
歯の神経や根への感染拡大
初期の虫歯は歯の表面(エナメル質)だけにとどまりますが、放置すると内部の象牙質を超えて神経にまで細菌が到達します。神経まで進行すると激しい痛みや腫れを引き起こし、歯の根の先に膿がたまることもあります。
この段階にまで進行すると、歯の神経の治療や抜歯が必要になる可能性が高くなります。
歯を失う可能性
虫歯を放置したことで、歯の大部分が崩壊し、歯の根しか残っていない状態になると、抜歯が必要になります。虫歯が進行して神経が死んでしまうと、一時的に痛みがなくなることがありますが、これは治ったわけではなく、さらに深刻な状態になっているサインです。
痛みがないからと放置せず、早めの受診が大切です。
治療が複雑かつ高額な治療が必要になる
虫歯を放置すると、初期段階では簡単な治療で済むものが、進行するにつれて神経の治療などの大掛かりな治療が必要になります。虫歯が重度の状態にまで進行し、抜歯が必要になった場合には、入れ歯やインプラントなどの歯を補う治療も必要になります。
これによって、治療費が数千円から数万円、場合によっては十万円以上に膨らむこともあるのです。通院回数も増え、治療期間も長くなるため、早めに治療を受けることが経済的・身体的な負担を減らすポイントです。
全身への影響
虫歯の細菌が血流を通じて全身に広がると、心臓や脳など他の臓器に悪影響を及ぼすことがあります。特に糖尿病や心臓病を持つ方は炎症が悪化しやすいため注意が必要です。
虫歯治療にかかる費用と通院頻度

虫歯治療はほとんどの場合で健康保険が適用されます。
ただし、白いセラミック素材や特殊な治療法は自費診療となり、数万円~十数万円と高額になる場合もあります。治療内容や費用は、治療前に歯科医院で確認しておくことが大切です。
以下に、進行度別の治療にかかる費用と通院頻度について解説します。
軽度の虫歯
虫歯部分を削ってレジン(白い詰め物)で詰める処置が中心です。1本あたり 1,000円~3,000円程度、1~2回の通院で完了することが多いです。
中等度の虫歯
虫歯部分を削ったあとに、型取りをして詰め物を装着します。歯を大きく削り、詰め物では対応できない場合には被せ物が必要になります。費用は保険適用の3割負担の場合で 3,000円~8,000円程度、3~4回程度の通院が必要です。
重度の虫歯
重度の場合は神経の治療(根管治療)や被せ物の装着が必要となり、1本あたり1万円以上かかることもあります。根管治療になると治療工程が増えるため、合計で5回以上の通院が必要になるケースも少なくありません。
さらに、虫歯を放置すると抜歯に至ることもあり、その場合はインプラントやブリッジなどで歯の機能を回復させる必要があります。自費診療の場合は、数十万円以上必要になるケースもあります。
虫歯を予防するためにできること

ここでは、虫歯を予防するためにできることをご紹介します。
毎日しっかりと歯磨きを行う
毎日の歯磨きは虫歯予防の基本です。磨き残しがないよう1本1本丁寧に磨くようにしましょう。歯ブラシだけでは落としきれない歯と歯の間の汚れは、デンタルフロスや歯間ブラシを使って毎日取り除くことも大切です。
眠っている間は唾液の分泌量が減って自浄作用が弱まり、細菌が活動しやすくなるため、就寝前のケアは特に大切です。
食生活を改善する
砂糖を多く含む食品や飲料を頻繁に摂取すると、虫歯菌が酸を作り出し、歯を溶かすリスクが高まります。間食や甘い飲み物の摂り方に注意し、メリハリのある食習慣を心がけましょう。
また、キシリトール入りガムの活用や、野菜やチーズなど虫歯になりにくい食品を選ぶことも効果的です。甘いものをだらだら食べ続けない、飲み物は水やお茶を選ぶなどの工夫が虫歯予防につながります。
フッ素を活用する
フッ素には、歯の表面を強化し、虫歯菌の酸に対する抵抗力を高める効果があります。特に、歯科医院では高濃度のフッ素を使用するため、定期的に塗布してもらうと虫歯予防に効果的です。
また、日常のセルフケアとしてフッ素入り歯磨剤を取り入れることも推奨されています。毎日の歯磨きでフッ素を取り込むことで、初期の虫歯を修復する再石灰化を助け、虫歯予防効果を高められます。
虫歯を早期に発見するためには

上述のとおり、虫歯を放置するとさまざまな影響を及ぼします。そのため、虫歯を早期に発見して、進行を食い止めることが大切なのです。ここでは、虫歯を早期に発見するための方法について解説します。
定期的に歯科検診を受ける
虫歯を早期に発見するためには、定期的に歯科検診を受けることが大切です。初期の虫歯は自覚症状がほとんどなく、自分では気づきにくいため、歯科医師や歯科衛生士によるチェックにより早期発見につながることがあります。
また、歯科検診では、歯石の除去やフッ素塗布といった予防処置を受けられるほか、自宅での歯磨きでは落としきれない汚れも、プロのクリーニングによってきれいに取り除くことができます。
こうした定期的なケアが、虫歯や歯周病の再発を防ぎ、健康な口腔環境を守ることにつながります。3〜6か月に1回ほどの頻度で検診を受けましょう。
小さなサインを見逃さない
歯の表面に白い濁りや黒ずみ、小さな穴がないかを日常の中で意識してチェックしてみましょう。また、冷たいものや甘いものを食べたときにしみる、歯ぐきが腫れる・出血するといった違和感が続く場合は、早めに歯科医院で相談してください。
まとめ

虫歯を放置すると、進行するにつれて痛みや腫れが生じ、最終的には歯を失う可能性もあります。また、虫歯が進行すると治療費や通院回数が増える傾向があり、身体的・経済的な負担が大きくなることが考えられます。
虫歯は正しい知識と日常のちょっとした工夫で予防できる病気です。毎日のセルフケアに加え、歯科医院での定期検診やプロケアを習慣化することで、虫歯の予防が可能になります。さらに、生活習慣を見直すことで口の中だけでなく全身の健康にもつながります。
気になる症状がある場合は、放置せずに早めに歯科医院を受診することが大切です。
虫歯の症状にお悩みの方は、春日井市玉野町にある歯医者「くまの歯科」にお気軽にご相談ください。
当院は、患者さまとの「対話」を何よりも大切にしながら診療にあたっています。通常の虫歯治療だけでなく、歯周病にも力を入れており、インプラントや矯正治療、ホワイトニングなども最良の治療計画を立てて最善を尽くします。